Our Treatment 当院の不妊治療
当院の治療内容
採卵周期
卵胞期管理
完全自然周期
月経開始から薬剤を使用せず、卵胞が排卵直前まで成長したらGnRHアゴニスト点鼻薬(ブセレリン)を用いて卵子の最終的な成熟を誘起し、卵子を採取します。この方法は、年齢の若い方、月経周期が正常で卵巣機能に問題のない方が適応となります。
体外受精には様々な方法があります。高刺激では卵巣過剰刺激症候群(OHSS)を生じることがあります。OHSSとは、排卵誘発剤の使用により卵胞がたくさん育ち、排卵後に卵巣が腫れたり、お腹に水が溜まって具合が悪くなることをいいます。症状がひどいと入院が必要になったり、最悪の場合には命にかかわることもあります。当院ではこのような合併症を避けるためにも薬の使用を最小限にとどめる「自然周期・低刺激周期」を基本としています。

月経周期によって異なるので、来院回数が増えることもあります。
クロミフェン周期
クロミフェンは卵巣への負荷が少ない排卵誘発剤です。
月経3日目からクロミフェンを内服することで、①卵胞をしっかり発育させる効果、②成熟卵子に適したタイミングで採卵をすることで卵子回収率が向上する、というメリットがあります。
排卵誘起は完全自然周期と同様にGnRHアゴニスト点鼻薬を使用します。
使用する薬剤の種類を考慮した上で量を極力少なくし、良い卵子を作ろうとする患者様自身の力を最大限に利用した、からだにやさしい体外受精の方法です。

月経周期によって異なるので、来院回数が増えることもあります。
レトロゾール周期
レトロゾール周期はクロミフェン周期よりもマイルドな排卵誘発方法です。
レトロゾール(アロマターゼ阻害剤)は、エストロゲン(卵胞ホルモン)の分泌を低下させます。エストロゲンの値が低下すると、下垂体からのFSH(卵胞刺激ホルモン)の分泌が増加するため、卵胞の発育を期待することができます。
この方法は、多嚢胞性卵巣症候群(PCOS)などの排卵障害のある月経周期の長い方に使用します。
また、クロミフェンのような子宮内膜菲薄化作用はありませんので、同じ周期に採卵と移植をする方にも使用することがあります。

月経周期によって異なるので、来院回数が増えることもあります。
クロミフェン+hMG/rFSH周期
hMG(ヒト閉経後ゴナドトロピン)は脳から分泌されるFSH(卵胞刺激ホルモン)とLH(黄体ホルモン)の作用を有する薬剤であり、FSH成分とLH成分の含有比によりいくつかの種類があります。
クロミフェンでは卵胞発育の見られない、下垂体機能の低下した方に使用します。
月経3日目からクロミフェンの内服を開始し、月経8日目にhMG注射をする方法です。(通院の難しい方は自己注射が可能な場合もあります)
クロミフェンに比較するとhMGは強い刺激になりますので卵巣過剰刺激症候群(OHSS)に注意が必要です。OHSSの症状がひどい場合には他院へ紹介させていただく場合もありますが、当院の注射を併用する採卵方法で重症になることはまれです。当院では卵胞の発育程度やホルモン値をモニタリングしながら薬剤の投与を最小限に抑えることで、OHSSの発生を減らす努力をしております。

月経周期によって異なるので、来院回数が増えることもあります。
トリガー(GnRHアゴニスト点鼻薬)
卵胞が発育しても、中にある卵子は未熟な状態であり、卵子が成熟するためにはLHサージが必要です。LHサージとは脳下垂体から急激に大量のLH(黄体ホルモン)が放出される現象のことで、LHサージが起こることで卵子が成熟し、受精可能な状態になって排卵されます。
一般的にはhCGを注射してLHサージを誘起しますが、当院では点鼻薬のGnRHアゴニスト(ブセレリン)を使用するため、卵巣過剰刺激症候群(OHSS)などの副作用が少なく抑えることができます。
GnRHアゴニストは脳下垂体の働きを抑制してFSH(卵胞刺激ホルモン)やLHの分泌を抑える効果がある薬剤ですが、短期間(少量)使用した場合には一時的なLHの上昇効果が期待できるため、当院ではLHサージ誘発を目的として使用しています。

排卵抑制(ボルタレン)
ボルタレンは非ステロイド性消炎鎮痛剤(NSAIDS)のひとつで、主に鎮痛剤として使用される薬剤ですが、服用を続けることで「排卵の指令が出ているにもかかわらず卵胞が破裂しない状態(黄体化未破裂卵胞:LUF)を引き起こし、排卵が起こりにくい状態」になることが報告されています。
当院では排卵抑制を目的としてボルタレンを採卵前に一時的に使用します。

採卵後のピル内服
排卵誘発剤を使用した次の周期は、前周期の古い卵胞が残り(遺残卵胞)、新しい周期の卵胞より早く成長してしまうため、採卵しても変性卵や空胞がみられることがあります。また、遺残卵胞がほかの卵胞発育の邪魔をすることもあります。
- 採卵後にピル(エストロゲンとプロゲステロン)を服用
- 脳下垂体からのFSH(卵胞刺激ホルモン)とLH(黄体ホルモン)の分泌が抑制される
- 排卵後の卵胞縮小が促進
- 遺残卵胞ができる確率が低下
- 卵巣の状態が整い、次周期も休まず治療できる

月経周期によって異なるので、来院回数が増えることもあります。
副作用としては少量の出血、吐き気や嘔吐などや頭痛、胸が張るなどがあります。重大な副作用としてピルによる血栓症があり、ふくらはぎの痛み、胸部の痛み、圧迫感、目のかすみなどの前駆症状があればすぐご連絡ください。また自己判断で飲んだり飲まなかったり、勝手に中止したりすることはおやめください。
採卵
採卵方法
①医師が超音波モニターで卵巣を観察し、大きく育った卵胞内の卵胞液を吸い取ります。卵胞液は培養士に渡されます。
②卵子は小さくて(0.1mm前後)肉眼では見えないため、培養士が実体顕微鏡を使用し、卵胞液内にある卵子を探します。
③卵子はオペ室から培養室に移動し、さらに高倍率の顕微鏡で成熟度を確認します(成熟確認)
クリニック独自の採卵針
私たちは採卵針の独自開発を行い、以前の採卵針(17ゲージ≒外径1.46mm)に比べて細い採卵針(21ゲージ≒外径0.81mmまたは22ゲージ≒外径0.72mm)を用いることにより、痛みを抑えられるようになりました。
また、針の先端部分の刃は特殊な加工をしており、組織へのダメージを最小限に抑えるように工夫されています。

この採卵針は痛みが少なく出血も軽度なため、全身麻酔をせずに採卵をすることが可能です。そのため、採卵終了後は15分ほど安静にしていただくのみで当日帰宅が可能です。
成熟確認
LHサージを誘発し、卵子成熟を促してから採卵を行いますが、全ての卵子が成熟できるわけではなく、未成熟の状態のまま採れる卵子も存在します。
卵子は成熟していないと受精することができないため、採卵直後に卵子の確認を行います。
かなり未熟な状態をGV期卵子といい、第一減数分裂が起こることでMI期卵子になりますがこの時点でもまだ未成熟な状態です。さらに第二減数分裂が起こることでMII期卵子になり成熟が完了し、精子を受け入れる準備が整います。
採卵直後の卵子を観察し、どの成熟段階なのか?受精のための準備が整っているか?を確認します。
また、卵子が成熟しているかどうかだけではなく、卵子の状態を高倍率で確認することで、卵子ひとつひとつに合わせた受精方法を選択することが可能になり、受精率の向上につながっています。
例えば、卵を囲っている透明帯という殻に亀裂がある卵は、ふりかけ法では多精子受精の可能性が高いため顕微授精の対象です。透明帯から卵が出てくる場合もありますが、出てきた状態でも顕微授精を行うことは可能です。


卵子の異常や変性(死んでしまっている状態)が確認された場合には、採卵直後にお伝えした採卵数が変更になることもあります。
精子
来院採精の流れ
採卵で卵が得られたら、採精をしていただきます。
当日来院が出来ない場合は、持込精子もしくは凍結精子を使用することが可能です。
精子の精製方法
射出精液中には、運動している/していない精子、正常形態精子/奇形精子など、様々な状態のものが含まれます。当院では密度勾配遠心法を用いて、DNAの損傷が少なく、運動性が良好な精子を回収しています。

採精直後の精子
精製後の精子

精子の凍結保存
採卵の前日までにご予約のうえ来院していただき、院内で採精した精子を凍結保存することができます。精子を凍結保存することで採卵当日に来院できない場合でも卵子を受精させることが可能です。
凍結方法にはふりかけ法用と顕微授精用の2種類があり、精液データやご希望の治療内容によって保存方法を決め、凍結します。
凍結精子を融解したとき、個人差はありますが精子の運動率が約半分になります。ふりかけ法用に凍結保存した場合、融解後に再度精子の検査を行い、運動精子の数が少ない状態だった場合は顕微授精になることもあります。

男性不妊

出典:主婦の友社「KLCメソッド入門 心と体にやさしい不妊治療」加藤恵一 著
不妊の原因の約半分は男性側にあると言われています。男性側の不妊原因の90%以上が精子をつくる機能に障害がある造精機能障害という報告があります。そのうちの約半分は精索静脈瘤やクラインフェルター症候群その他の染色体異常などと原因が特定できるものもありますが、残り半分は原因がわからないのが現状です。
射精した精液中に精子が見られない「無精子症」と診断された場合、以前であれば妊娠は難しかったのですが、研究が進み、精巣内に1つでも精子が見つかれば、顕微授精によって卵子に精子を注入し、受精させることができるようになりました。
逆行性射精
精液が尿道口から射出できず、膀胱に向かって逆流する病態です。当院では射精後に尿中から精子を検出しています。
ESA
ESA(Epididymal Sperm Aspiration)は精巣上体精子採取術と呼ばれる術式です。精巣で作られた精子は最終的に射出されますが、精子の通り道である精細管・輸精管がなんらかの原因で詰まっていると体外に出てくることができません。局所麻酔をした後、精巣上体に直接、注射針を刺して、内容物を吸収します。その中に精子があるかどうか確認します。
TESE
TESE(Testicular Sperm Extraction)は精巣内精子採取術と呼ばれる術式です。精子を作り出すという、精巣の生殖細胞が本来持っている機能が、先天的、または後天的な原因によって失われたことにより、無精子症になった方が対象になります。最近の研究により、無精子症の方でも、精巣内に精子が見つかることが報告されました。手術によって精巣組織を採取し、精子が採取できれば顕微授精を行うことができます。

媒精
ふりかけ法
ふりかけ法(Conventional IVF)とは、卵子に精子をふりかけ、一定時間一緒にすることで精子を卵子に進入させる方法です。
精子が卵子に進入せず受精できないことや、精子が複数進入してしまい多精子受精になってしまうことがあります。
対象になる方:✔成熟卵が採れた ✔精子データが良好
卵子のdropに精子を入れている様子
精子が卵に入っていく様子
顕微授精
顕微授精(Intracytoplasmic Sperm Injection:ICSI)とは、顕微鏡下で選別した良好精子を、ガラス針を使って卵子に注入する方法です。確実に精子を注入するので、ふりかけ法に比べ高い確率で受精させることができます。ガラス針を卵子に穿刺することにより変性する可能性(3%程度)があります。
当院でICSIを行う際には、卵子が精子を受け入れる準備が整っているか、受精のための最適なタイミングかを見計らうために、紡錘体可視化装置を用いて卵子の観察を行っています。卵子に極体と紡錘体が確認できたら、受精の準備が整っているサインです。紡錘体には遺伝情報が含まれる部分があります。紡錘体を確認しながらICSIを行うことで、卵子の染色体の損傷を避けることが可能となり、良好な受精率・胚発生率が得られています。
ICSIを行った場合、別途料金が発生します。

対象になる方:✔ふりかけ法で受精率が低い ✔未熟卵が採れた ✔精子データが良くない
ICSIは使用する針が2種類あります。
①先端が鋭利な針を使用する方法(Conventional ICSI)

②先端がフラットな針を使用する方法(Piezo ICSI)

どちらの方法で行うかは、卵の状態や治療歴により決定します。
レスキューICSI
ふりかけ法を行った後、受精の兆候がみられなかった場合にICSIを行う方法です。受精しなかった卵子を救済できる方法ですが、通常に比べ受精する時間が遅いので、異常受精になる可能性が高くなります。採卵の時間によっては対応できない場合がございます。ICSIを行った場合、別途料金が発生します。

培養
当院では全ての卵をタイムラプスインキュベーターで培養しています。
タイムラプスインキュベーターを導入することによって、卵に影響を与えずに24時間観察することが可能になりました。
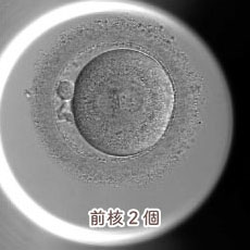
受精
まだ受精していない成熟卵には極体が1つあります(第1極体)。卵に精子が進入すると第2極体が放出され、極体が2個になります。その後、前核が出現しはじめ、前核が2つ(精子由来&卵子由来)確認できたら「正常受精」と判断します。



前核が0個もしくは1個の卵は受精なし。
前核が3個以上の卵は異常受精のため培養を続けることができません。



分割
受精した卵は、通常、2細胞、3細胞、4細胞、8細胞…と分割していきますが、1細胞が3細胞になる卵(ダイレクト分割、動画)や、4細胞が3細胞に戻る卵(リバース分割、動画)もあり、分割過程によって治療プランが変更になる場合もあります。



ダイレクト分割
リバース分割
分割胚は、細胞の大きさの比率、フラグメント(細胞の断片)の割合、分割過程などを総合して評価をつけています。
胚盤胞
卵の分割がすすんでいくと各細胞がお互いに密着するコンパクション現象が観察されます。その後、桑実期胚、胚盤胞へと成長します。胚盤胞になった卵はサイズが変化していき、当院の規定値以上になると移植や凍結ができるようになります。



胚盤胞の細胞は、外側に位置する栄養外胚葉(TE:trophectoderm)と内側に位置する内細胞塊(ICM:inner cell mass)に分かれています。着床した後、TEは胎盤に、ICMは赤ちゃんに、それぞれ成長していきます。
当院では卵の形態(TEとICM)と、成長速度、採卵時の年齢などを基にして、当院独自の総合評価をつけています。

新鮮胚移植
新鮮分割胚移植
採卵から2-3日後に、その周期に採卵した卵を移植するプランです。体外で培養する時間をできるだけ短くし、子宮に戻してあげる方法です。判定日は10日後です。
※成長スピードがゆっくりな卵や、ダイレクト分割した卵の場合は、プランが変更になる可能性があります。
新鮮胚盤胞移植
採卵から5日後に、その周期に採卵した卵を移植するプランです。体外で胚盤胞(着床直前の状態)まで培養した後に、子宮に戻してあげる方法です。5日目の朝に大きな胚盤胞に成長しているものが新鮮胚盤胞移植の対象です。判定日は7日後です。
※成長スピードがゆっくりな卵(コンパクション、桑実期胚、小さい胚盤胞など)は凍結プランに変更になります。
新鮮胚が移植できなかったら
ドミノ移植
当院で凍結胚を保存中の場合は、新鮮胚が移植の基準に満たなかった場合、凍結胚を融解して移植することも可能です。詳しくは医師とご相談ください。

凍結
卵の凍結方法
卵を凍結保存することで移植まで保存することが可能です。細胞内の80%は水分から構成されています。そのまま凍結保存すると氷晶が形成され、細胞がダメージを受けてしまいます。なので、氷晶形成を防ぐために凍結保護液(耐凍剤)を加えています。これまで様々な受精卵の保存方法が開発されてきましたが、受精卵の生存率を飛躍的に向上させたのが、当院で開発したガラス化凍結法(クライオトップ法)です。凍結技術の発達により、余った受精卵を凍結することはもちろん、採卵周期の胚盤胞を一旦凍結保存し、次周期以降の子宮内膜の状態が良いときに移植することで、妊娠率が飛躍的に向上しました。技術の発達によって、受精卵がダメージを受ける確率は2~3%程度になりましたが、当院ではさらに成績を向上すべく、日々検討を重ねています。

移植周期
凍結胚移植周期管理
自然周期
自然排卵周期に凍結分割期胚、または凍結胚盤胞胚を移植します。月経周期が整った方を対象とした方法で、薬は使いません。排卵前に受診し、排卵日を確認して、凍結胚を移植します。月経周期が28日型の方であれば、12日目くらいの来院が目安です。胚移植日は、分割期胚移植(ET: Embryo Transfer)の場合は排卵日から2日後、胚盤胞移植(BT: Blastocyst Transfer)の場合は5日後になります。胚移植日はホルモン値の確認をした後に胚移植を行います。

月経周期によって異なるので、来院回数が増えることもあります。
レトロゾール周期
この方法は、多嚢胞性卵巣などで月経周期が長い方や黄体機能不全の方が対象です。
レトロゾールを月経3日目から5日間内服します。
レトロゾールはクロミフェンにみられる子宮内膜の菲薄化がありませんので、移植周期に使用することができます。

月経周期によって異なるので、来院回数が増えることもあります。
ホルモン補充周期
月経不順・無月経・卵巣及び黄体機能不全の方を対象とした移植方法で、この移植法はより自然周期に近いホルモン環境をお薬で作ってあげることが目的です。不足するホルモンを補うことで、移植に向けて子宮内の環境を整えることができます。


月経周期によって異なるので、来院回数が増えることもあります。
融解
卵の融解方法
移植当日の朝は、来院していただいて採血を行います。採血結果(ホルモン値)に問題がなければ、医師の指示の下、凍結していた卵を融解します。凍結保存によるダメージはほぼありませんが、約1%の確率でダメージを受けてしまう卵もあるため、融解後、卵が移植できる状態まで回復できるかどうか培養を行い、判断します。

アシステッドハッチング
受精卵が子宮内膜に着床する際には、卵が透明帯という殻から出ていることが必須です。アシステッドハッチング(AH: Assisted Hatching)とは、レーザーを用いて人工的に受精卵の透明帯を取り除く技術です。AHには、透明帯の一部に穴を開ける方法や、透明帯を薄くする方法もあります。当院では最も着床率が向上するデータがある透明帯をすべて取り除く方法を行っています。
AHを行い孵化胚盤胞になった胚の状態を確認し、移植の可否を判断します。
胚移植
移植方法
体外で育てた胚を子宮に戻すことを「胚移植」といいます。当院では、①経膣法と②TOWAKO法の2種類の移植方法があり、患者様それぞれに合った方法を使い分けて、子宮の底部に確実に胚を移植します。
①経膣法(カテーテルを使う方法)
超音波画像をモニターしながら、カテーテルという細い管を膣から子宮に挿入して移植を行います。胚移植に必要な時間は5~10分ほどです。経膣下では、従来の経腹下の方法よりも鮮明に移植すべき位置を確認できるので、最適な位置に移植を行うことが可能です。
また、膀胱に尿をためること(膀胱充満)が不要なので、患者様への負担が少ない方法です。
当院では独自に2フレンチ(従来の2分の1以下の太さ)のカテーテルを開発し、素材も従来の硬いもの(テフロン)から非常に柔らかいもの(シリコン)に変更しました。通常、柔らかいカテーテルは操作が困難であるため一定以上の硬さが求められますが、独自の技術により、柔らかくて操作しやすいカテーテルを開発することができました。
移植胚はとても小さく、OPE室の超音波モニターで確認することはできません。超音波モニターで、液体は黒色、空気は白色に映ります。
移植胚の前後に空気を吸って、超音波モニターで空気が2個出た=移植完了を確認します。

②TOWAKO法(針を使う方法)
膣から子宮にカテーテルを挿入するのが困難な場合や、子宮の入り口からカテーテルが入りにくい方には、針で移植する方法があります。当クリニックグループの名前(永遠幸グループ)を用い、TOWAKO法と呼んでいます。移植には独自で開発した専用の針とカテーテルを使用します。
この方法では、膣から子宮に針を直接刺して、子宮の中に胚を移植します。実際にはごくまれなケースです。この胚移植も、モニターを見ながら行い、確実に子宮に胚を戻したことを確認します。
単一胚移植
1回の移植に1個の胚だけを移植する方法を単一胚移植と呼びます。
多胎妊娠は母体への身体的リスクが大きいため、当院では2007年より、すべての移植において単一胚移植を行っております。
着床
移植後~当院卒業まで
妊娠
胚移植後は定期的に来院し、子宮に戻された胚が無事に着床、発育しているかを確認します。
胚盤胞移植であれば1週間後、分割胚移植であれば12日後に来院し、まずホルモン検査による妊娠判定を行います。着床していれば、βhCGの値が陽性となります。
その後、妊娠5週前後に超音波検査(エコー)で胎嚢の確認を行い、妊娠7週で胎児の心拍を確認し、9週目に超音波検査で元気な赤ちゃんの姿が確認できれば、当院での治療は卒業となります。
